Dr.DONALD SALOMON Overview
- 
												
												
Specialties
 - 
												
Procedures
 - 
												Insurances We Work With
 
Profile Description
Dr. Donald Salomon has been practicing restorative and cosmetic dentistry in Hartsdale, New York since 1985. He is a graduate of Boston University and the University of Pennsylvania School of Dental Medicine where he received a Doctorate of Medical Dentistry (DMD). Dr. Salomon has completed post graduate studies at the prestigious Panky Institute, The Spear Education Institute, Dawson Center for Advanced Dental Study, and Kramer and Nevins Institute of Advanced Dental Education among many others. Dr. Salomon has been the official team dentist for the New York Rangers since 1985. He is the past president and one of the founding members of the National Hockey League Team Dentist Association, as well as a long time member in good standing of the American Dental Association, Ninth District Dental Society and the Scarsdale Dental Society. Dr. Salomon is proud to have been voted one of Westchester’s Top Dentists every year since Westchester magazine began choosing Top Dentists in 2008. This is quite an honor as the Top Dentists are chosen strictly by peer review. In addition to his Hartsdale practice and his work with the New York Rangers, Dr. Salomon has been featured in numerous articles on aesthetic, reconstructive and sports dentistry. These articles have appeared in Westchester Magazine, the Westchester WAG, The Journal News and the New York Times, in addition to appearing in many of the most prestigious dental journals.
Languages spoken
Professional Memberships
Awards and Publications
Provider's suggested pricing (may vary depending on actual work):
Dr.DONALD SALOMON's office locations
Location Map
Patient reviews for Dr.DONALD SALOMON
Overall rating
Wait time rating
Staff rating
Write Review
Pictures & Videos
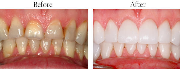
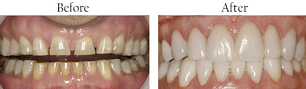
Before/After
																			
																			
																			
																			
																			
																			
																			
																			
																			
																			
																			
																			
																			
																			Youtube Video's
Q&A
Frequently Asked Questions
Q.How soon can I make an appointment with Dr.DONALD SALOMON?
Ans.Generally, Dr. DONALD SALOMON has appointments available on Teethngems.com within 1 week. You can see Dr. SALOMON's earliest availability on Teethngems.com and make an appointment online.
Q.Is Dr. DONALD SALOMON accepting new patients?
Ans.Dr. DONALD SALOMON generally accepts new patients on Teethngems.com. You can see Dr. SALOMON's earliest availability on Teethngems.comand schedule an appointment online.
Q.Does Dr. DONALD SALOMON accept my insurance?
Ans.Choose your insurance plan to verify if Dr. SALOMON is in-network.
Q.Can I make an appointment with Dr. DONALD SALOMON online?
Ans.Yes, you can make an appointment online with Dr. SALOMON using Teethngems.com. It’s simple, secure, and free.
Q.What practice does Dr. DONALD SALOMON work with?
Ans.Dr.DONALD SALOMON works with Salomon and Esposito Dental Partners
Q.Where is Dr. DONALD SALOMON’s office located?
Ans.Dr. DONALD SALOMON's office is located at 101 E HARTSDALE AVE, HARTSDALE, NY, 10530.
Q.What are common reasons for patients to see Dr. DONALD SALOMON?
Ans.Dr. DONALD SALOMON frequently sees patients for Dental Cleaning, Dental Consultation, Dental Emergency, Dental Preventive Care, and Filling. You can see other visit reasons for Dr. DONALD SALOMON on their profile.
Q.What languages does Dr. DONALD SALOMON speak?
Ans.Dr.DONALD SALOMON speaks English. At this Salomon and Esposito Dental Partners English are spoken.
Q.How do patients rate Dr. DONALD SALOMON in reviews?
Ans.0 patients have reviewed Dr. DONALD SALOMON. The overall rating for this doctor is 0.0/5. They have a 0.0/5 rating for staff and a 0.0/5 rating for wait time. Practice is rated as 0.0/5. You can read individual reviews and ratings on their profile.
Q.Are fixed payment plans for specific treatments available with this Denitst?
Ans.NO
																	

